審美歯科治療(セラミック治療)を成功させるために必要なこと〜宇部市歯医者〜2026.03.02
「前歯を白くきれいにしたい」「笑った時の歯並びを整えたい」
そんな患者様の要望を叶える方法にセラミック治療があります。しかし、審美歯科は単に「白い被せ物をする」だけの治療ではありません。
そんな患者様の要望を叶える方法にセラミック治療があります。しかし、審美歯科は単に「白い被せ物をする」だけの治療ではありません。
特に見た目の印象を左右する前歯などの部位では、完成までの「精密なステップ」と「徹底した診断」が成功の鍵を握ります。今回のブログは、当院が理想の仕上がりのために心がけていること、妥協しない治療についてです。

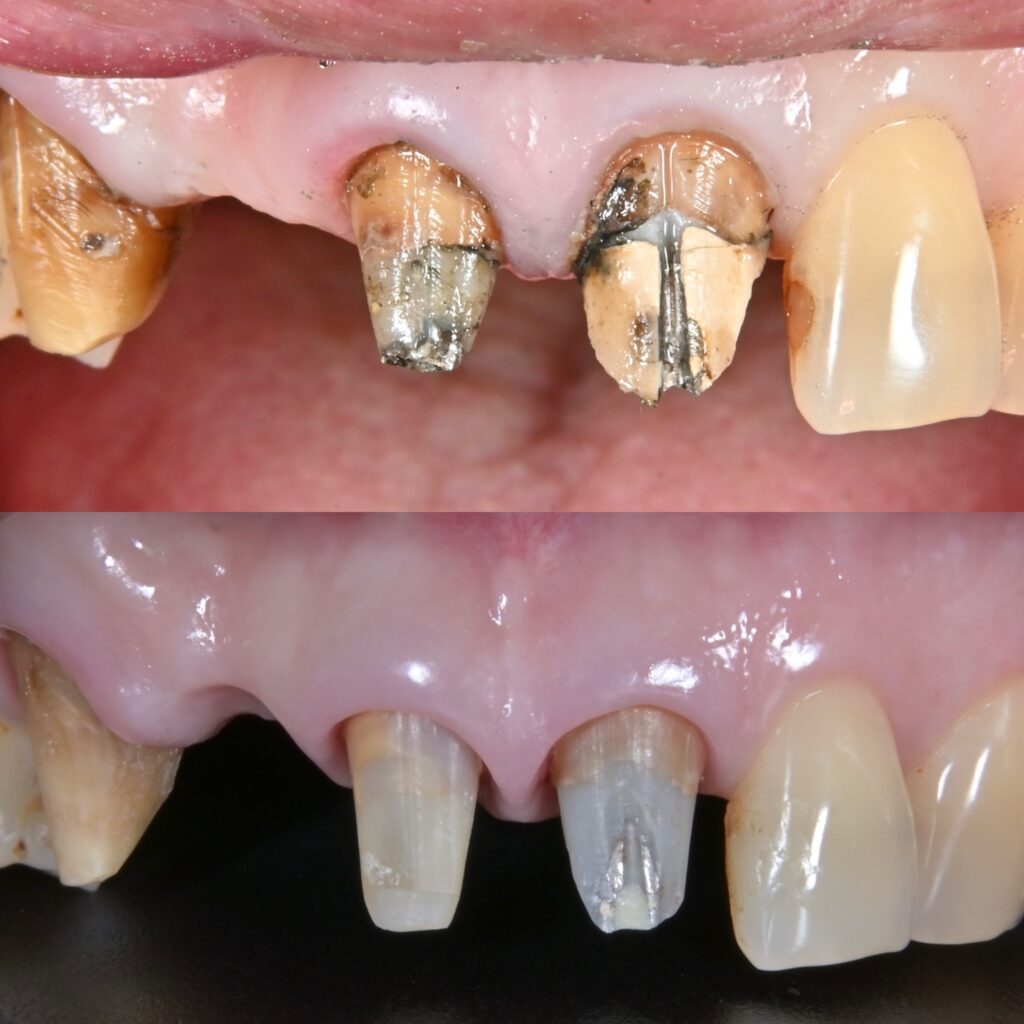
術前術後
1. 「見た目」と「機能」を両立させるための診断
審美歯科において、患者さまの主訴(見た目の改善)を解決するのは当然のことです。しかし、それと同時に重要なのが「機能面」の回復です。
正しく噛めるか、発音を邪魔しないか、そして長持ちするか。これらを実現するために、当院では術前の診断を最も重視しています。
正しく噛めるか、発音を邪魔しないか、そして長持ちするか。これらを実現するために、当院では術前の診断を最も重視しています。
2. 理想を形にする「診断用ワックスアップ」と「プロビジョナル」
いきなり歯を削って型を採ることはありません。まずは「診断用ワックスアップ」(模型上でのシミュレーション)を行い、最終的なゴールを可視化します。最近ではデジタルシミュレーションも行っています。
さらに、「プロビジョナルレストレーション(仮歯)」の段階で、実際に日常生活で使っていただきながら、見た目のバランスや噛み合わせを微調整していきます。このステップを踏むことで、完成後に「イメージと違った」というミスマッチを防ぐことができます。
さらに、「プロビジョナルレストレーション(仮歯)」の段階で、実際に日常生活で使っていただきながら、見た目のバランスや噛み合わせを微調整していきます。このステップを踏むことで、完成後に「イメージと違った」というミスマッチを防ぐことができます。
3. マイクロスコープを用いた土台作りと歯周組織の安定
セラミックという「美しい家」を建てるためには、強固な「基礎(土台)」が欠かせません。当院ではマイクロスコープ(歯科用顕微鏡)を駆使し、肉眼では見えないレベルでの精密な処置を行います。
- 精密根管治療: 歯の根に問題があれば、どれほど美しい被せ物をしても長持ちしません。拡大視野下で徹底的に細菌を除去し、再発を防ぎます。ラバーダムは必須です。
- 精密な支台歯形成: セラミックを被せる土台の形を、マイクロスコープ下でコンマ数ミリ単位で整えます。
- 歯周組織の安定: 歯と被せ物の境界線を精密に仕上げることで、歯肉の炎症を防ぎ、長く健康で美しい歯ぐきのラインを維持することが可能になります。

歯肉の炎症の除去
4. デジタルと職人技の融合
精密な治療を支えるのは、最新のテクノロジーと人の手による熟練の技術です。
- デジタル印象: 従来の粘土のような型採りではなく、精密なスキャニングによって違和感の少ない正確なデータを取得します。
- 高精度CAD/CAM: コンピューター制御で設計・加工を行うことで、適合性の高い詰め物・被せ物を作製します。
- 歯科技工士の技術: 最終的な色調や透明感、歯の表面の質感は、経験豊富な歯科技工士の手によって、周囲の歯と馴染む「自然な美しさ」へと仕上げられます。

ラバーダムを使用した精密根管治療・完成したセラミック(ジルコニアブリッジ)
自分に合った「自然な美しさ」を手に入れたい方へ
セラミック治療の成功は、一つひとつの工程を確実に積み重ねることでしか得られません。
「自然で美しい歯を手に入れたい」「今の口元の悩みを解決したい」という方は、ぜひ一度当院へご相談ください。あなたの理想を形にするために、精密な診断に基づいた最適な治療計画をご提案いたします。
「自然で美しい歯を手に入れたい」「今の口元の悩みを解決したい」という方は、ぜひ一度当院へご相談ください。あなたの理想を形にするために、精密な診断に基づいた最適な治療計画をご提案いたします。