福岡SJCDテクニシャンセミナー会員発表2013.08.27
8月17・18日に行われた福岡SJCDテクニシャンセミナーに第一歯科診療所技工士2名と参加して来ました。
今回の例会は講師に技工士の櫻井保幸先生をお迎えして、午前は4名の技工士会員が症例発表を行い、それに対するディスカッションと講師からのアドバイスを受け、午後は櫻井先生の講演「SJCDコンセプトに基づく歯科技工」〜チーム医療に必要な知識・情報・技術〜というスケジュールでした。
会員発表においては当院技工士の倉重くんも「正中離開の審美的な回復」というテーマで症例発表を行いました。準備にも時間をかけ緊張しながらも丁寧な発表に高い評価をもらうことが出来ました。
症例の一部をご紹介します。
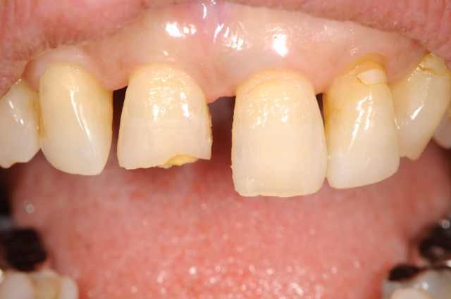
術前(歯牙破折で来院されました)
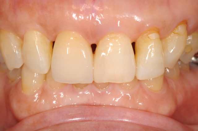
第一歯科診療所で作製されたオールセラミッククラウンとラミネートベニア
最終補綴物装着後の術後
櫻井先生の講演はSJCDのコンセプトをドクターと共有することにより、どのような状況にあっても、Esthetic・Function・Biology ・Structureを整理することにより円滑な仕事ができるというお話をされ、また数々の素晴らしい技工を見せていただくことができました。
今年から福岡SJCDの理事を仰せつかっており、テクニシャンセミナーは担当理事ということもあり初めてのことが多く大変研修以外にも勉強になることが多かったです。





