宇部市歯医者 ラバーダム防湿 セラミック治療 歯の神経を守る2021.09.28
術前と術後の写真です。
歯と金属との境目から亀裂が入り、咬合痛と冷痛のため来院されました。
このような場合、安易に除去して治療を行うと歯の神経を抜かなければならなくなることもあります。歯の神経を守るためには唾液の中にいる細菌から治療する際に守る必要があります。そのためにはラバーダムが必要です。
第一歯科診療所では治療に入る前に治療法を説明し、同意を得た上で治療に入ります。
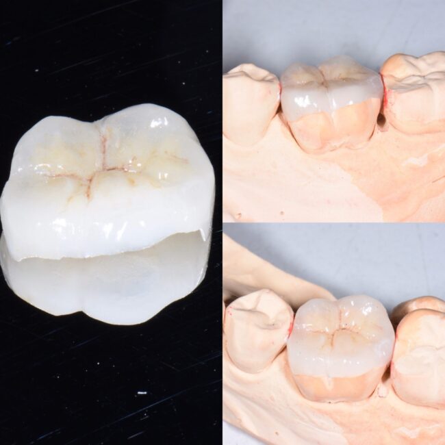
第一歯科診療所には院内歯科技工士がいます。そのため適合の良い補綴物と歯の色調を合わせることができます。
ラバーダム防湿下でセラミックを接着修復
適合と色調の調和が長期安定予後に欠かせないと考えています。
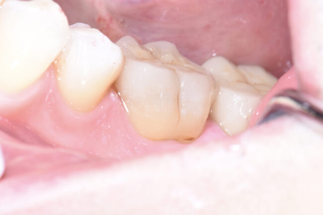
ラバーダムを外した口腔内術後
違和感のない自然な仕上がりを獲得するためには必要な処置を行わなければならないと考えています。
ラバーダムを使用しての治療をご希望される方はご連絡ください。
初診は資料採得と応急処置・説明となります。
2回目からの治療は60〜90分の予約を取らせていただいております。



