ラバーダムを用いた歯科治療〜宇部市歯医者2025.04.22
歯科治療を行う際にラバーダムを使用することで、唾液、血液、呼気から防湿することができるため、歯を修復治療するために使う材料の接着力が格段に向上するなどいろいろなメリットがあります。
お口の中はとても湿度が高いため、治療に使うセラミック・硬質プラスチック、金属などを強固に接着することは難しく、脱離や2次的な虫歯になる可能性が高まります。普段使う接着剤やセロハンテープなどが濡れている場所に接着しないのと同じと考えてもらうと分かりやすいかもしれません。
また治療中も舌や口唇、頬粘膜を排除することができるため視野が広がり、患者さんへの安全性も確保されると共に治療の精度が向上します。唾液中の細菌が付着することで起こる2次的な感染も防ぐため、歯の神経を守ることにもつながります。
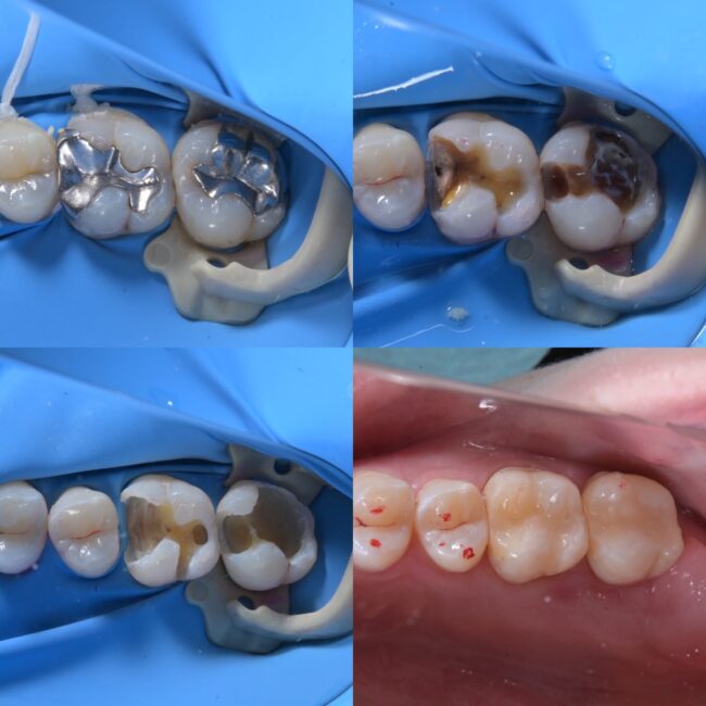
1枚目は実際に治療中の写真になりますが、大変深い虫歯で一部歯の神経が露出しましたが、神経を取ることなく治療することができました。
2枚目はその治療の流れになります。銀歯が接着しておらずその下が大きな虫歯になっており、露髄(歯の神経が露出)したため歯髄保護を行なった上で症状が出ないか確認するため一時的な修復処置まで終わらせた状態になります。
ラバーダムがない状態で、唾液が付着しないようにここまで深い虫歯を治療することは難しく、神経を取る処置が必要になります。
当院でラバーダムを使用した治療はすべて自費治療となります。その歯にとってその時最良の治療をすることが長期的な安定した予後に繋がると考えて丁寧な治療をしています。
