インプラント治療について 宇部市歯医者2021.01.09
当院ではインプラント治療に際し、安全を期すためサージカルガイドを用いています。
インプラント手術を行う前に術部のCT撮影を行い、撮影デジタルデータをシミュレーションソフトに取り込みます。ソフト上でインプラント埋入ポジションを明確に決め、それを元に正確なサージカルガイドを作製します。
2次手術が必要な場合は最小限の侵襲(腫れや痛みが少なく)済むように症例ごとに検討しています。
上の写真は2次手術直後です。最小限の切開を行うことにより、痛みもなく1週間後に型取りを行いました。
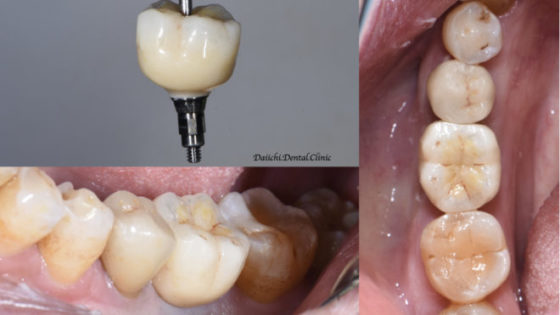
最終補綴物が装着された写真です。ご自分の天然歯と同じように気にすることなく食事ができ、歯磨きなどのお手入れも変わりません。
インプラント治療はかなり確立された治療法ですが、事前の診査・診断が大変重要であり、その後のメインテナンスもプロフェッショナルトゥースケアが必要です。
第一歯科診療所では治療が終わった後も大切だと思っています。治療した部位が何事もなく長期にわたる安定した予後を得るために何が必要かをいつも考えながら治療しています。



