
症例紹介の記事一覧BLOG


インプラント治療について 宇部市歯医者
#症例紹介
宇部市歯科 セラミックオンレー ラバーダム 白い歯
#症例紹介
宇部市歯医者 インプラント治療 歯根破折 咬めない
#症例紹介
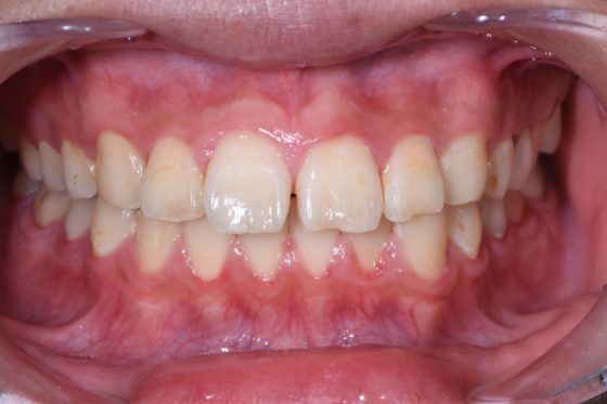
宇部市歯医者 前歯のすきっ歯 正中離開 ダイレクトボンディング 白い...
#症例紹介
宇部市歯医者ブログ マイクロスコープ ダイレクトボンディング ラバー...
#症例紹介
宇部市歯医者ブログ 歯科健診で見つかった虫歯 ラバーダム 白い詰め物...
#症例紹介
宇部市歯医者 MTA 歯の神経を取らない治療法 ダイレクトボンディン...
#症例紹介
宇部市歯医者ブログ ダイレクトボンディング
#症例紹介
ほうれい線やマリオネットラインへのヒアルロン酸注射
#症例紹介
宇部市歯医者 ラバーダム防湿
#症例紹介