歯を失った方には、インプラント治療という選択肢があります。
インプラントとは、失われた歯根の代わりに顎骨に埋め込まれる純チタン製の小さなネジです。天然の歯根と同じように機能し、自然に顎骨と結合します。インプラントの上にセラミックの冠などを装着することにより失われた機能を取り戻し、美しく自然な新しい歯を復元します。
審美歯科とは、虫歯や歯周病など「病気を治す」という従来の歯科治療から一歩進んで、「美しく健康な歯」「健康的な笑顔」という視点をプラスした治療です。
歯を白くする、大きさを整える、歯並びをきれいにする、歯ぐきの色を美しいピンク色に改善するなど、健康的で美しい口元を作り、患者様が笑顔に自信をもっていただくことを目的としています。
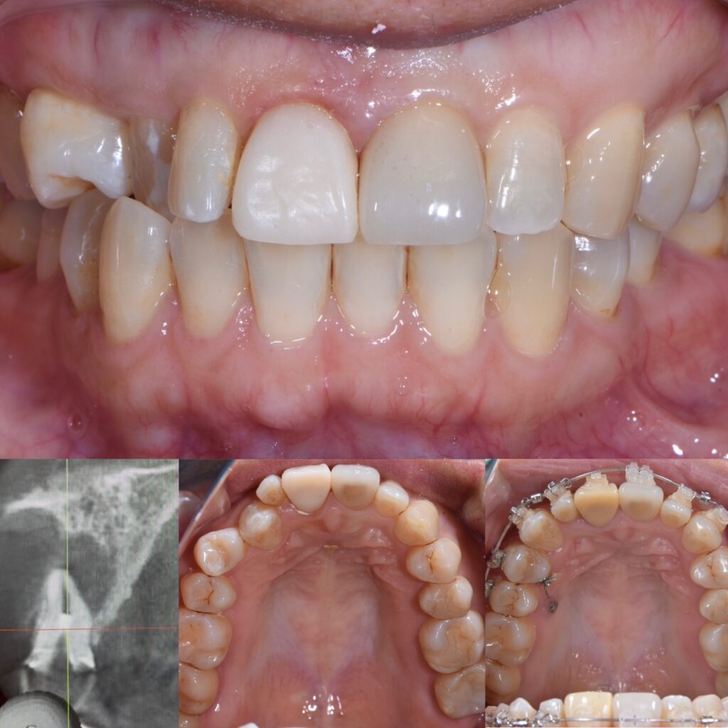
従来のレントゲンでは見ることの出来なかった3D画像を撮影することにより、骨の厚みや形状、血管、神経まで把握することができ、歯周病治療、親知らずの抜歯、難治性根管治療、インプラント治療などに安全で確実な治療を行えるようになりました。
院内ラボを完備し、歯科技工士が常駐しています。院内で保険適用技工物からオールセラミック・ラミネートベニアなどの審美修復物やインプラント補綴・コーヌスクローネ義歯など精密な技工物のほぼすべてを製作しています。
院内ラボの特性を活かしきめ細かい対応をしています。
- 2025.11.11 年末年始の休診日のお知らせ
- 2025.11.11 11月の休診日のお知らせ
- 2025.10.14 10月の休診日のお知らせ
- 2025.08.25 9月の休診日のお知らせ





















