
予防歯科INFORMATION
WITH SINCERITY AND HONESTY, COMMITTED TO DENTAL HEALTH.
予防こそ最良の治療。
むし歯や歯周病は、いったん進行すると自然に治ることはありません。治療で改善しても、再発することも少なくありません。
だからこそ、「治療する」から「予防する」へ発想を変えることが大切です。

科学的根拠に基づいた予防の重要性
う蝕や歯周病は多因子性の慢性疾患であり、自然治癒は期待できません。
治療後も再発リスクが残るため、発症予防(一次予防)および早期発見・早期治療(二次予防)が不可欠です。
さらに歯周病は糖尿病、心疾患、誤嚥性肺炎などの全身疾患とも関連が報告されており、口腔健康の維持は全身の健康管理に直結します【参考文献1】【参考文献2】。
定期メインテナンスの有効性
定期的な歯科メインテナンスを受けることで、長期的な歯の保存率が有意に高まることが多数の研究で示されています。
- Axelsson & Lindhe(1981, 2004)の30年以上に及ぶ研究では、定期的メインテナンスを受けた患者の平均残存歯数は25本以上であったと報告。【参考文献3】
- 厚生労働省の調査でも、定期検診を受診している人は未受診者に比べて平均残存歯数が5本以上多いことが確認されています。【参考文献4】
これらの結果は、予防歯科が歯の寿命を延ばす最も有効な方法であることを示しています。
当院の予防プログラム
当院では、患者一人ひとりのリスクに基づいたオーダーメイド予防プログラムを実施しています。
- レントゲン撮影によるう蝕・歯周病リスク診断
- プロフェッショナルケア(PMTC・歯石除去)によるバイオフィルムコントロール
- フッ化物応用(高濃度フッ素塗布、フッ化物配合歯磨剤の推奨)
- 生活習慣指導(ブラッシング、食習慣、喫煙習慣の改善)
- マイクロスコープによる精密診査で初期病変を見逃さず、早期介入
予防歯科の効果(アウトカム)
- 残存歯数の維持
- 長期的に天然歯を保存
- 全身健康への寄与
- 糖尿病コントロール改善、誤嚥性肺炎リスクの低減【参考文献2】
- 医療費削減
- 定期的予防管理を受けている群は、未受診群に比べて生涯医療費が数十%低いと報告【参考文献4】
参考文献
1. Tonetti MS, Van Dyke TE. Periodontitis and atherosclerotic cardiovascular disease: Consensus report of the Joint EFP/AAP Workshop. J Clin Periodontol. 2013;40 Suppl 14:S24-29.
2. Scannapieco FA, Shay K. Oral health disparities in older adults: oral bacteria, inflammation, and aspiration pneumonia. Dent Clin North Am. 2014;58(4):771-782.
3. Axelsson P, Lindhe J. Effect of controlled oral hygiene procedures on caries and periodontal disease in adults: Results after 6 years. J Clin Periodontol. 1981;8(3):239-248. (2004年長期追跡研究も含む)
4. 厚生労働省「歯科疾患実態調査」
予防歯科の症例紹介
フッ素(トレー法)齲蝕予防
- 主訴
- 虫歯予防をしたい
- 治療内容
- 歯科医院で高濃度(9,000ppm)のフッ素を歯に塗布する予防法です。ハブラシが届きにくくむし歯の発生しやすい場所にも効果的です。
ディスポーザブルトレーにフォーム状のフッ素(2mL以下)をのせ、口腔内に挿入し、軽く歯列に圧接して約4分間かませる方法です。口腔内の状態に左右されずに塗布できるので、ブリッジ等の補綴物がある患者さんや矯正中の患者さん等におすすめです。
- 治療期間
- 年間1~2回実施
- 治療のリスク
- 塗布後約30分間は洗口せずに、唾液を吐き出す程度にとどめる必要があります。
BEFORE
AFTER
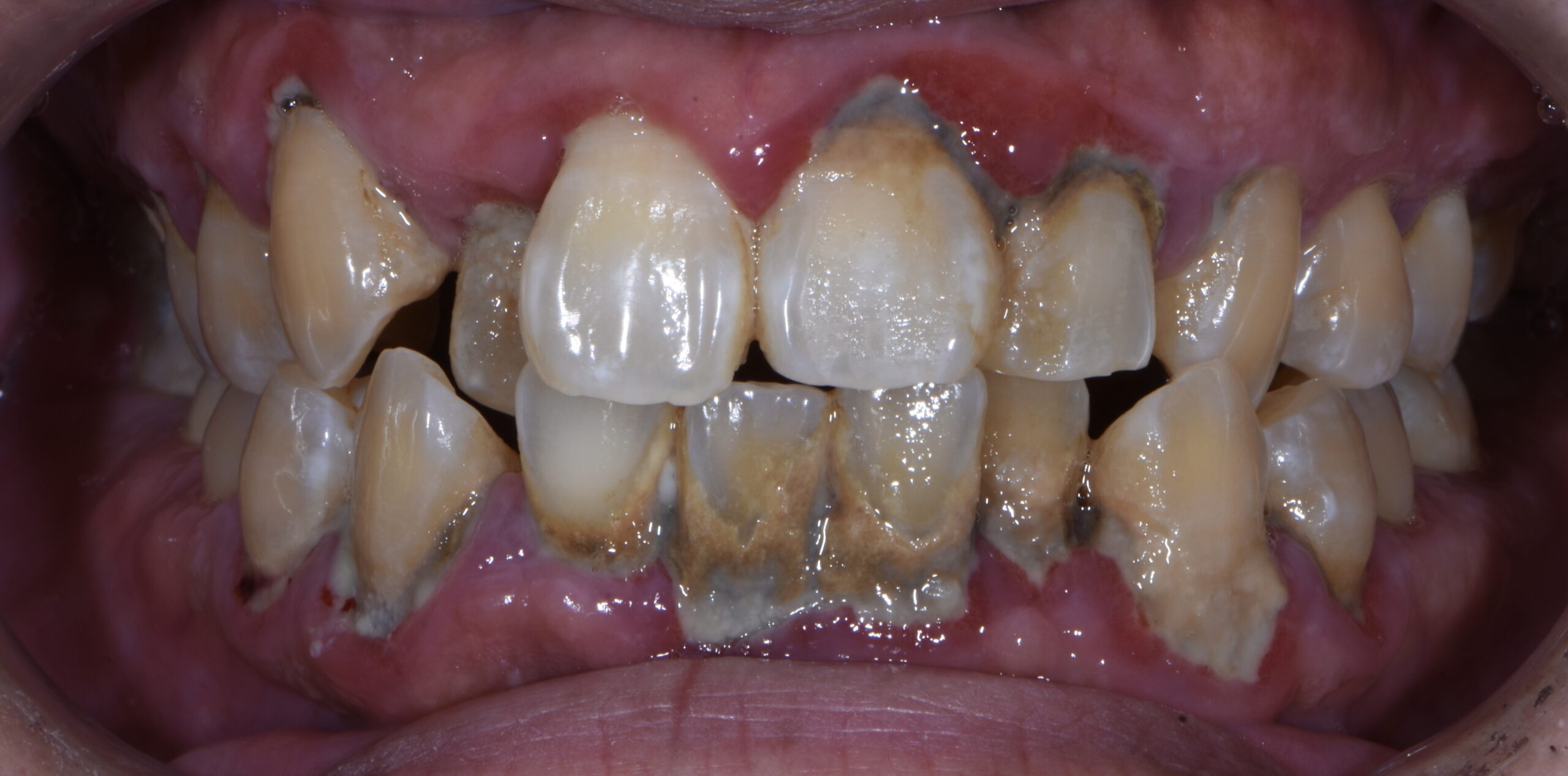
歯石除去を中心とした予防歯科治療
- 主訴
- 歯ぐきから出血する。口臭が気になる。
- 治療内容
- 歯科衛生士による歯磨き指導と超音波スケーラーによる歯石除去を行いました。
- 治療期間
- 3ヶ月
- 治療費用
- 健康保険適用
- 治療のリスク
- 一過性に知覚過敏になる事があります。
BEFORE
AFTER