
矯正歯科INFORMATION
WITH SINCERITY AND HONESTY, COMMITTED TO DENTAL HEALTH.
きれいな歯並びは、健康への第一歩
きれいな歯並び、その先にある健やかな未来
矯正歯科治療とは、歯並びを整えるだけでなく、噛み合わせ(咬合)や顎の成長発育、顔全体の調和を考慮して行う歯科治療です。
歯が正しく並ぶことで見た目が美しくなるのはもちろん、食べ物を効率よく噛めるようになり、発音が明瞭になり、口腔清掃性も向上するため、虫歯や歯周病の予防にもつながります。
かつては「矯正=見た目をよくするための治療」と考えられていましたが、現代の矯正治療は審美性と機能性の両立を目指すものです。きれいな歯並びは、口腔だけでなく全身の健康にも通じることがわかっています。
当院では、お子さまから成人まで幅広い年齢層に対応し、患者さま一人ひとりの生活スタイルやご希望に合わせた矯正治療をご提案いたします。

当院の矯正治療の特徴
- 精密な診断
- デジタルスキャン・X線・写真に加え、セットアップ模型(治療後の歯並びをシミュレーションした模型)を用いて、顔貌や咬合の変化を立体的に確認します。治療前に最終イメージを共有できるため、より安心して矯正治療を始められます。
- マイクロスコープを併用した歯周管理
- 矯正治療中も歯ぐきや歯の健康を維持。MI(最小侵襲)の考えを大切にします。
- 幅広い治療方法
- ・ワイヤー矯正(メタル・審美ブラケット)
・マウスピース矯正(透明で目立ちにくい)
・部分矯正(気になる部分だけ整える)
- 成長期から成人まで対応
- お子さまの早期治療から、大人の方の審美矯正まで幅広く対応可能です。
矯正治療のメリット
- 歯並びを整えることで、清掃性が向上し虫歯・歯周病を予防
- 咬合が安定し、噛む・話す機能の改善
- 顔貌やスマイルラインが自然に整い、審美性が向上
- 将来的な補綴治療・インプラント治療を有利に進められる
矯正装置の種類
- ワイヤー矯正
- 確実で幅広い症例に対応
- セラミックブラケット
- 目立ちにくいワイヤー矯正
- マウスピース矯正
- 透明で審美性に優れ、取り外し可能
- 部分矯正
- 短期間で気になる箇所だけ整える
マルチブラケット矯正とアライナー矯正の比較
マルチブラケットとアライナーを組み合わせて行うこともあります。
- 適応症例
-
マルチブラケット(ワイヤー)矯正
幅広い症例に対応可能(重度も可)
アライナー(マウスピース)矯正
軽度〜中等度に適応、複雑症例は不向き
- 歯のコントロール
-
マルチブラケット(ワイヤー)矯正
三次元的な移動・回転・トルクが容易
アライナー(マウスピース)矯正
精密な制御は制限あり
- 審美性
-
マルチブラケット(ワイヤー)矯正
装置が目立ちやすい
アライナー(マウスピース)矯正
透明で目立ちにくい
- 清掃性
-
マルチブラケット(ワイヤー)矯正
装置周囲の清掃が困難、う蝕・歯周病リスク
アライナー(マウスピース)矯正
取り外し可能で清掃性が高い
- 装着感
-
マルチブラケット(ワイヤー)矯正
違和感・口内炎が出やすい
アライナー(マウスピース)矯正
違和感が少なく快適
- 食事制限
-
マルチブラケット(ワイヤー)矯正
硬い物・粘着性食品に制限あり
アライナー(マウスピース)矯正
食事時は取り外し可能、制限なし
- 患者の協力度
-
マルチブラケット(ワイヤー)矯正
装置固定のため依存度低い
アライナー(マウスピース)矯正
20〜22時間の装着が必須、協力度が重要
- 治療過程の可視化
-
マルチブラケット(ワイヤー)矯正
術者の調整による
アライナー(マウスピース)矯正
デジタルシミュレーションで事前確認可能
- エビデンス
-
マルチブラケット(ワイヤー)矯正
長期データ豊富で信頼性高い
アライナー(マウスピース)矯正
データ蓄積中、軽中等度症例で実績あり
治療の流れ
- 01初診相談(お悩み・希望を伺います)
- 02精密検査(写真・X線・デジタルスキャン)
- 03治療計画のご説明(シミュレーションを用いてわかりやすく)
- 04矯正装置の装着
- 05定期調整・口腔管理
- 06治療完了・保定管理
よくあるご質問
- Q
- 矯正は何歳からできますか?
- A
- お子さまの場合は6〜7歳頃に一度診察をおすすめします。成人矯正も年齢制限はありません。
- Q
- マウスピース矯正とワイヤー矯正、どちらが良いですか?
- A
- 症例により適応が異なります。軽度ならマウスピース、複雑な歯並びならワイヤー矯正が適しています。
- Q
- 治療期間はどれくらいかかりますか?
- A
- 部分矯正は半年〜1年程度、全体矯正は2〜3年程度が目安です。
当院では、矯正治療に関する初診相談を行っております。
矯正治療は、歯並びを整えるだけでなく、顎顔面骨格との調和を考慮する必要があり、きわめて包括的かつ難易度の高い分野です。
矯正にご興味のある方には、初診時に簡単な資料採取(写真・簡易模型など)を行い、治療の流れや考え方の概略をわかりやすくご説明いたします。
さらに当院での治療をご希望される場合には、精密な診断に必要な基礎資料(頭部X線規格写真・口腔内写真・顔貌写真・診断用模型・セットアップ模型・口腔内スキャン・CBCT撮影など)採得を必須とし、これに基づいた上で個別の診断・治療計画のご提案を推奨しています。
このプロセスにより、個々の症例に即した合理的かつ予知性の高い治療計画の立案が可能となると考えています。
どうぞお気軽にご相談ください。

矯正歯科の症例紹介
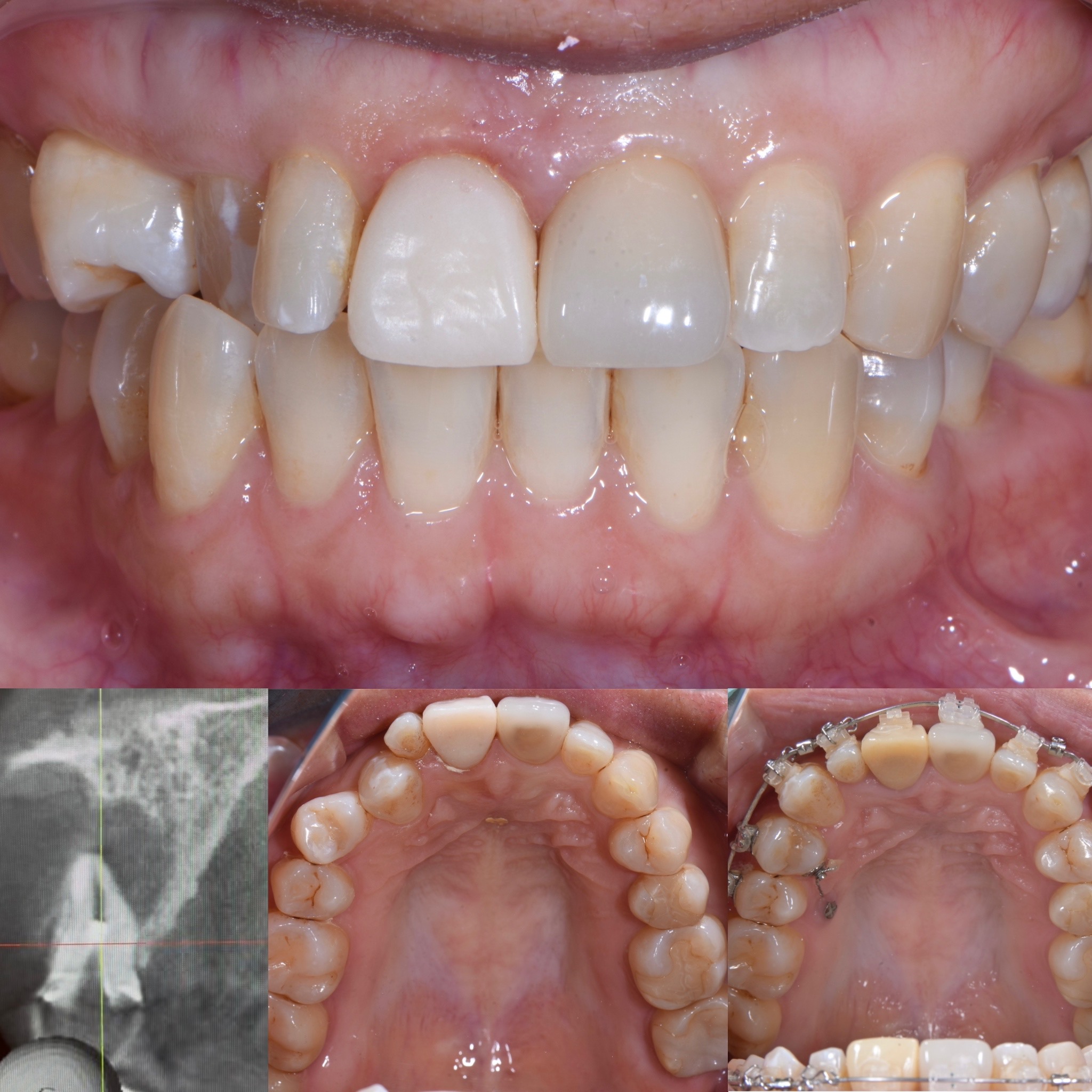
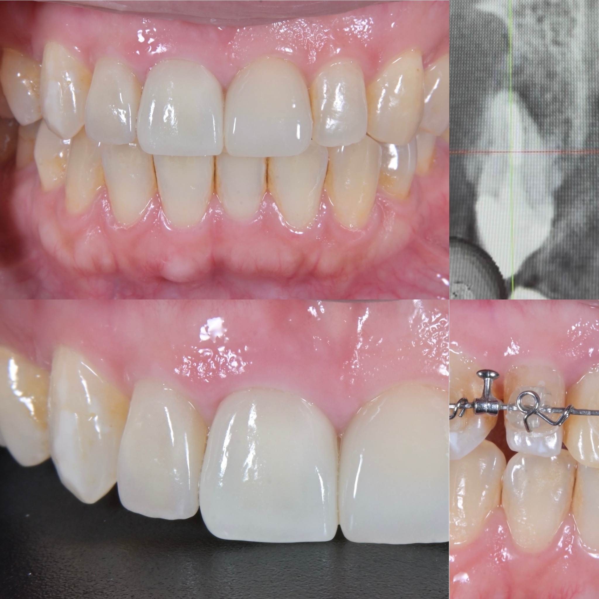
部分矯正(MTM)を併用した前歯部審美歯科治療
- 主訴
- 治療中の前歯の歯ぐきの腫れが治らないことを主訴に来院されました。
- 治療内容
- 右上前歯(中切歯)の根尖部に大きな病変と歯肉の腫脹を認めたため、専門医による根管治療(歯内療法:歯の神経の治療)後、歯を悪くしている要因の一つである咬み合わせの改善のため部分矯正を行い、ジルコニアクラウンにて歯冠修復を行いました。矮小歯の側切歯はラミネートベニアにて修復治療を行なっています。
- 治療期間
- 矯正期間16ヶ月
- 治療費用
- ジルコニアクラウン 165,000円 ラミネートベニア 143,000円 部分矯正 440,000円
- 治療のリスク
- 大変大きな病変と歯牙の動揺があり、保存が危ぶまれましたが、確実な感染防護と手技により抜歯を免れました。このままのかみ合わせ(シザーズバイト・交叉咬合)では再発リスクがあるため、矯正治療を行うことでアンテリアガイダンスを獲得、スムーズな離開運動を達成することができた。矮小歯の側切歯にはラミネートベニア、主訴の中切歯にはジルコニアクラウンで修復することで審美性も獲得することができました。矯正治療後に保定装置を怠ると後戻りすることがありますので定期的な検診が必要です。
BEFORE
AFTER
歯周病が進行した前歯に対する包括的治療〜エムドゲインを使用した歯周組織再生療法
- 主訴
- 最近 前歯に隙間で出来て、歯が動く(動揺)することを主訴に来院されました。
- 治療内容
- 歯周病から歯を支える骨(歯槽骨)の喪失を起こし歯牙移動と動揺を呈していた右側上顎中切歯に人工骨とエムドゲインを使用した歯周組織再生療法を行いました。
歯牙の位置異常に対しては部分矯正治療を行っています。
- 治療期間
- 12ヶ月
- 治療費用
- 歯周再生療法 110,000円 部分矯正治療 440,000円
- 治療のリスク
- 歯周病に対するブラッシング指導など基本治療を行い、再生療法を行うことで吸収していた歯槽骨の再生をレントゲンで確認することができました。
今後、定期的なメインテナンスが必要となります。怠ると再発リスクが高まります。
条件によっては歯槽骨の再生が予定より少なくなることがあります。
BEFORE
AFTER