
インプラントINFORMATION
WITH SINCERITY AND HONESTY, COMMITTED TO DENTAL HEALTH.
しっかり噛める喜びと、
自然な笑顔をもう一度
インプラント治療は歯を失った部分に人工の歯根を埋め込み、その上に人工歯を装着する方法です。臨床応用から40年余りを経て、製品開発面でも技術・学術面でも大きく進歩し、今や信頼に値する治療法として確立されています。
かつては「食べるための機能回復」に重点が置かれ(外科主導型)、清掃性や見た目の問題が十分に考慮されていないケースも見受けられました。しかし現代のインプラント治療は、機能面に加えて審美性と長期的なメインテナンス性を重視しています。(補綴主導型)
また、ブリッジや入れ歯に比べて隣の歯を削らずにすみ、自然な噛み心地や見た目を再現できるのが特徴です。
近年はデジタル技術を駆使することで、精密な設計と予測可能性の高い治療計画が可能となり、ご家族やご友人との食事や会話を、笑顔で自然に楽しめる環境を取り戻せるようになっています。
私たちは、単なる「噛める」だけでなく、健康でナチュラルな美しさを備えた患者様にとって価値あるインプラント治療を提案いたします。

- インプラント補綴
-
10年生存率:95〜97%
主な特徴:隣在歯を削らず長期安定。機能・審美に優れる
- ブリッジ
-
10年生存率:80〜85%
主な特徴:支台歯の負担・侵襲あり → 虫歯・歯周病・破折リスク
- 義歯(従来型)
-
満足度:40〜60%
主な特徴:咀嚼効率が低く、審美・安定性に難あり
- インプラント義歯
-
満足度:80〜90%以上
主な特徴:従来義歯より圧倒的に咀嚼力・満足度が高く、QOL向上
- 欠損放置
-
隣在歯トラブル発生:約30〜40%
主な特徴:隣在歯の傾斜・挺出、咬合崩壊のリスクが高い
よくあるご質問
- Q
- 手術は痛いですか?
- A
- 局所麻酔下で行うため、処置中の痛みはほとんどありません。術後は軽度の腫れ・痛みが出ることがあります。
- Q
- どのくらい持ちますか?
- A
- 適切なケアとメンテナンスで、10年以上の長期使用が可能です。
- Q
- 誰でもできますか?
- A
- 骨量・全身状態などにより適応を確認します。喫煙や糖尿病などはリスク因子となります。
条件によってはそのままではインプラントを行うことが難しい場合があります。
その際に必要となる処置がありますが、十分な説明の上で治療法を決定します。外科治療になりますので患者さんが望まなければそのままの条件の中で最良と思われる治療法の決定をしていますのでご安心ください。
骨量不足とその背景
インプラント治療においては、十分な骨量(高さ・幅・質)が確保されていることが成功の前提条件となります。しかし、以下のような理由で骨量不足が生じるケースがあります。
・歯周病やむし歯による歯の喪失後の骨吸収
・長期間の欠損放置による顎堤吸収
・上顎洞(サイナス)の拡大による骨高さ不足
・外傷や感染による骨欠損
骨造成(Bone Augmentation)の方法
01.GBR(Guided Bone Regeneration,骨誘導再生法)
適応症:骨幅が不足している場合(水平的骨欠損)
02.骨ブロック移植(Blook Bone Graft)
適応症:骨の高さや幅が大きく不足する場合
サイナスアプローチ(上顎洞挙上術)
特に上顎臼歯部では歯の喪失後に歯槽骨の吸収と上顎洞が拡大し、骨の高さが不足することが多いです。
01.クレスタルアプローチ(ソケットリフト)
歯槽頂からアプローチ、専用の器具で上顎洞を押し上げる
02.ラテラルアプローチ(サイナスリフト)
上顎洞外側壁(側方)から上顎どう粘膜と挙上する。
当院の取り組み
01インプラント治療は最もデジタル化の恩恵を受けている分野で、
「より安全に、より正確に、より低侵襲に」を具現化しています。
当院のインプラント治療の特徴
- 審美性・清掃性への配慮
- 術前に診断用ワックスアップまたはCAMソフト上でデジタル診断を行います。
- マイクロスコープを活用した精密なオペ
- 上顎洞粘膜の確認、ピエゾサージェリーによる繊細な骨切り、エルビウムヤグレーザーによる不良肉芽の除去などを拡大視野で処置・確認することで成功率が高くなります。
- デジタルシミュレーション
- C T撮影・デジタルスキャン(IOS :Intra Oral Scanner)を組み合わせ、術前に理想的な位置をシミュレーション。
- ガイデッドサージェリー
- 3Dプリンターで作製した手術ガイドを用い、誤差の少ない埋入を実現。
ただ単に噛めるだけではなく歯肉ラインや隣接歯との調和を重視し、
自然な仕上がりと物が詰まりやすいなどの不快症状のないメンテナンスのしやすさを追求しています。
02当院では、通常の欠損部に埋入する方法・欠損部が治癒するのを待って埋入する方法に加えて
抜歯後ただちにインプラントを埋入する「抜歯即時埋入」を取り入れています。
これにより、顎堤吸収の抑制、治療期間の短縮、外科処置回数の軽減が可能となり、
結果として患者様の身体的・精神的負担を大きく軽減できます。
即時埋入は、従来の「抜歯 → 治癒待機 → 埋入」という流れに比べ、
組織の保存性と治療効率に優れた治療戦略であり、審美性と長期安定性の確保にもつながります。
- Q
- 手術は痛いですか?
- A
- 局所麻酔下で行うため、処置中の痛みはほとんどありません。術後は軽度の腫れ・痛みが出ることがあります。
- Q
- どのくらい持ちますか?
- A
- 適切なケアとメンテナンスで、10年以上の長期使用が可能です。
- Q
- 誰でもできますか?
- A
- 骨量・全身状態などにより適応を確認します。喫煙や糖尿病などはリスク因子となります。
デジタルシミュレーションDigital Simulation
デジタルシミュレーションは、CT(骨の情報)+口腔内スキャン(歯列・咬合情報)を統合し、インプラント治療を仮想的に再現する工程です。
治療前に「どこに・どの角度で・どんな形態の上部構造を作るか」を確認できます。

特徴
- 補綴主導型治療(Prosthetically Driven Implant Placement)
- 先に「理想的な最終補綴」をデジタル上で設計し、それに合うようにインプラント位置を決定。
- リスクの可視化
- 神経や上顎洞との距離を3Dで確認し、安全域を確保。
- 患者様説明に有効
- シミュレーション画像を患者に提示することで、治療の理解と安心感が高まる。
- チーム連携の効率化
- 技工士・外科医・補綴医が同じデータを共有し、精度の高い連携が可能。
エビデンス
Bornstein MM, et al. Systematic review on accuracy of computer-guided implant placement. Clin Oral Implants Res. 2014.
デジタルシミュレーションは埋入位置の予測精度を向上させ、補綴主導型治療の実現に有効。
ガイデッドサージェリーGuided Surgery
ガイデッドサージェリーとは、CT撮影と口腔内スキャンのデータをもとに、インプラント埋入位置を事前に3Dで設計し、
その設計通りに手術を行う方法です。専用の「サージカルガイド」と呼ばれるマウスピース型の器具を用います。


特徴
- 高精度な位置決め
- 神経・血管・隣在歯を避け、最適な角度・深さに埋入可能。
- 低侵襲(ミニマルインターベンション)
- 切開・剥離を最小限に抑え、出血や腫れを減らせる。
- 手術時間の短縮
- 事前にシミュレーション済みのため、当日の手術がスムーズ。
- 予知性の高い結果
- 審美性・機能性を長期的に安定させやすい。
エビデンス
Tahmaseb A, et al. Computer technology applications in surgical implant dentistry: a systematic review. Int J Oral Maxillofac Implants. 2014.
ガイデッドサージェリーは従来法に比べ、埋入精度・合併症リスク低減に有効。
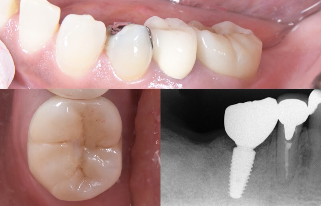
インプラントの症例紹介
歯根破折により抜歯を要した症例への即時埋入インプラント治療
- 主訴
- 咬むと痛い
- 治療内容
- 歯根破折により保存不可能と診断し、抜歯即時埋入によるインプラント治療を行いました。
インプラント埋入前に、iOS(口腔内スキャン)データとCTデータをシミュレーションソフト上でマッチングし、埋入ポジションを決定。サージカルガイドを作製し、ガイデッドサージェリーにてインプラント手術を行いました。デジタルをインプラント治療に取り入れることで治癒期間の短縮と解剖学的形態の獲得を達成できました。また最終補綴物はジルコニアクラウンをスクリューリテイニングにて行うことでメンテナンスを容易にすることもできました。
- 治療期間
- 3ヶ月
- 治療費用
- 60万
- 治療のリスク
- 抜歯窩とインプラントとのギャップが埋入時に生じるため感染させないための処置が重要になる。またメインテナンスを容易にするためにインプラント埋入ポジションがズレないよう慎重な手技が求められる。これらを確実に行わないとインプラントが骨とうまく付かない場合があります。
BEFORE
AFTER