
審美歯科INFORMATION
WITH SINCERITY AND HONESTY, COMMITTED TO DENTAL HEALTH.
本来の機能と美しさを両立する審美歯科
審美歯科とは単に「見た目を美しくする治療」ではなく、「口腔機能の回復と調和した美しさの追求」を目的とする歯科領域です。
歯や歯ぐき、かみ合わせ、顔貌とのバランスを考慮して機能と美を両立させることで、口元が顔全体の印象と調和するような、ナチュラルな仕上がりを目指しています。

主な治療内容
- ホワイトニング
- 歯を削らずに薬剤で漂白する方法。オフィスホワイトニングとホームホワイトニングがあります。また歯の神経が悪くなり内面から変色してしまった歯に行うウォーキングブリーチがあります。
- ダイレクトレストレーション
-
コンポジットレジン(硬質プラスチック)を直接盛り足し、形態や色を修正する方法です。
適応症:正中離開(ディアステマ)・矮小歯・むし歯など
- インダイレクトレストレーション
-
天然歯に近い透明感と耐久性を持つe-max(2ケイ酸リチウム)・ジルコニアなどのセラミックを使って接着修復する方法です。
01インダイレクトレストレーション
適応症:正中離開・先天性欠損・矮小歯・むし歯など
02インレー・アンレー・クラウン・ブリッジ
適応症:むし歯・欠損・変色歯・形態不全・酸蝕症など
- 歯周形成外科
-
歯肉のラインや厚みを整え、審美的調和を得る方法です。
適応症:ガミースマイル・萌出不全・歯肉増殖・歯根露出など
- インプラント補綴
-
欠損部に審美的かつ機能的に優れた補綴を行います。
適応症:歯の欠損
審美歯科に必要な診査項目
01顔貌・スマイルのマクロ的評価
02歯・歯肉のミクロ的評価
03機能(咬合・発音)との調和
この3つを統合的に診断することで、「ナチュラルで持続的な美」を提供できるため必要な資料採得を行なった上でご説明し、同意のもと治療に入ります。
資料採得は顔貌写真・口腔内写真・レントゲン写真・歯周ポケット検査などありますが、治療方針説明時にご一緒に見ていただくものになりますので必要でない検査はいたしません。
当院の取り組み
入念な診査・診断・テストドライブ
院内歯科技工士による精密な診断用ワックスアップ・モックアップ・プロビジョナルレストレーションを活用し、入念に診査・診断・テストドライブすることで最終補綴物を装着する前に患者様に納得していただける審美歯科治療を行っています。
ここでの調和へのこだわりで結果が変わるため時間をかけて丁寧に行っています。

審美歯科の症例紹介
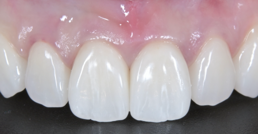
審美歯科治療 セラミックブリッジ(ジルコニアブリッジ)
- 主訴
- 変色している前歯のブリッジをやり直したい。
- 治療内容
- 時間の経過とともに変色してきた保険適用ブリッジを外し、プロビジョナルレストレーション(仮歯)を装着。その状態で虫歯治療・精密根管治療・支台築造・精密印象を行い支台歯環境を整えました。また欠損部歯肉も食片が入り込まないように形態修正を行いました。最終補綴物は変色がなく、歯周組織に為害作用の少ないオールセラミック/ジルコニアを使用したセラミックブリッジ治療を行いました。
- 治療期間
- 6ヶ月
- 治療費用
- 60万円
- 治療のリスク
- 既存のブリッジを除去するまで支台歯の状態は完全にはわからないため、治療計画の変更の可能性がありましたが、当初の計画通り治療することができました。今回、長期間審美的に保つためにバーティカルプレパレーションと言われる形成方法を採用しました。この方法に理解のある歯科技工士と治療を進める必要があります。
BEFORE
AFTER
矮小歯に対してラミネートベニアで修復しました
- 主訴
- 患者さんは左上の側切歯だけが小さく形が不揃いであること(矮小歯)を主訴に来院されました。
- 治療内容
- 主訴である左上側切歯以外に歯の形やかみ合わせなど問題がありませんでした。歯の表面をエナメル質の範囲で僅かに削合し、ラバーダム防湿を行なってラミネートベニアを装着しました。
- 治療期間
- 2回
- 治療費用
- 143,000円+(診断料・モックアップ・シリコンインデックスとして22,000円)
- 治療のリスク
- 事前のワックスアップによる診断で最小限の削除量でセラミックのラミネートベニアを作製することができましたが、普段の食事と違う強い衝撃を加えると欠けたり割れたりすることがあります。
BEFORE
AFTER
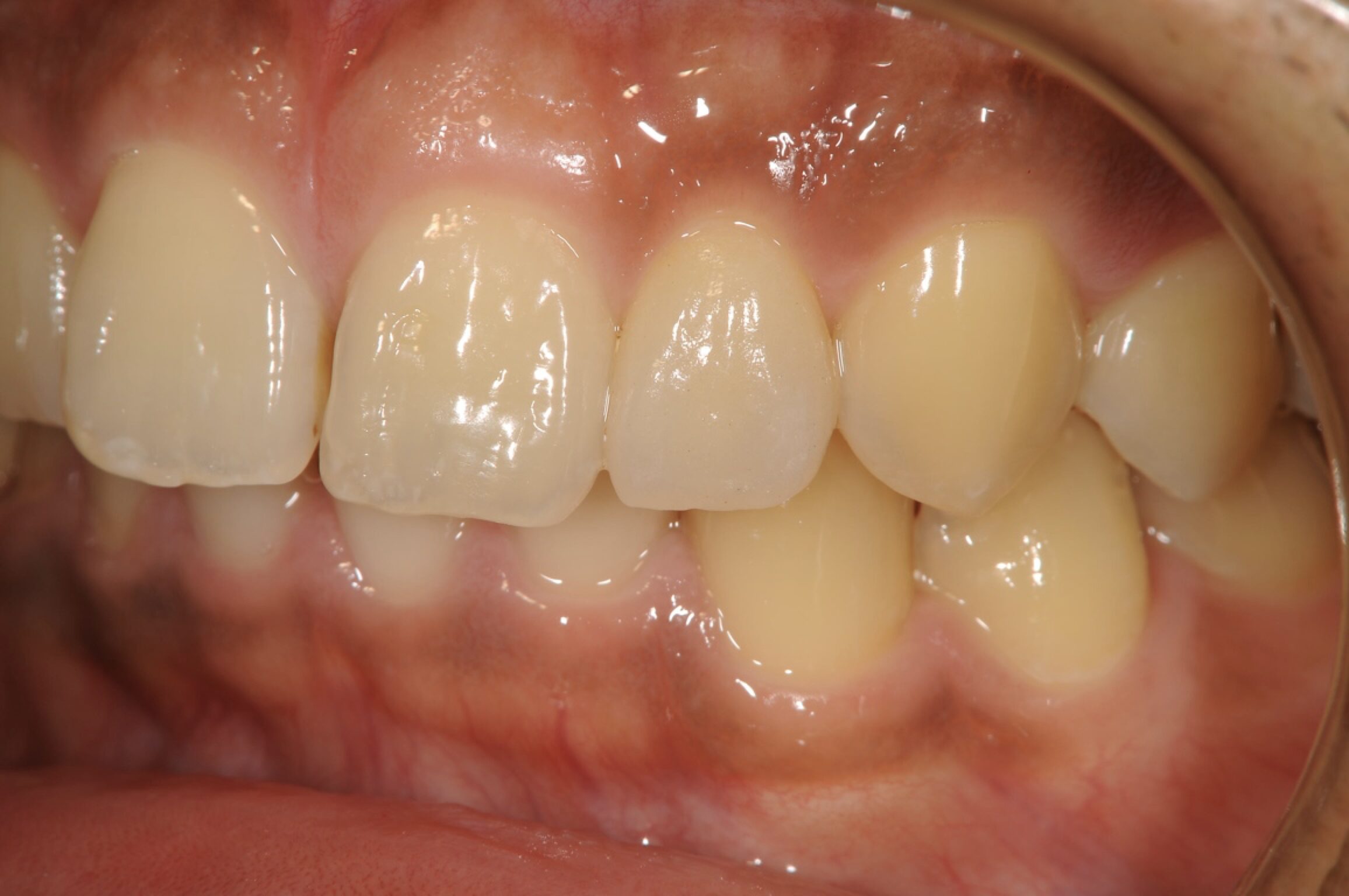
部分矯正(MTM)を併用した前歯部審美歯科治療
- 主訴
- 治療中の前歯の歯ぐきの腫れが治らないことを主訴に来院されました。
- 治療内容
- 右上前歯(中切歯)の根尖部に大きな病変と歯肉の腫脹を認めたため、専門医による根管治療(歯内療法:歯の神経の治療)後、歯を悪くしている要因の一つである咬み合わせの改善のため部分矯正を行い、ジルコニアクラウンにて歯冠修復を行いました。矮小歯の側切歯はラミネートベニアにて修復治療を行なっています。
- 治療期間
- 矯正期間16ヶ月
- 治療費用
- ジルコニアクラウン 165,000円 ラミネートベニア 143,000円 部分矯正 440,000円
- 治療のリスク
- 大変大きな病変と歯牙の動揺があり、保存が危ぶまれましたが、確実な感染防護と手技により抜歯を免れました。このままのかみ合わせ(シザーズバイト・交叉咬合)では再発リスクがあるため、矯正治療を行うことでアンテリアガイダンスを獲得、スムーズな離開運動を達成することができた。矮小歯の側切歯にはラミネートベニア、主訴の中切歯にはジルコニアクラウンで修復することで審美性も獲得することができました。矯正治療後に保定装置を怠ると後戻りすることがありますので定期的な検診が必要です。
BEFORE
AFTER
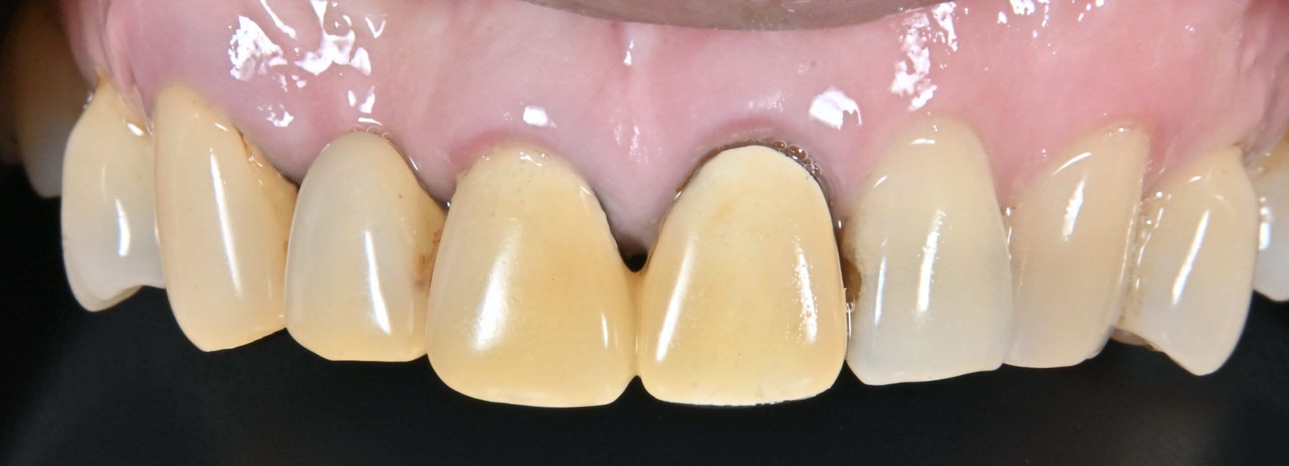
詰め物の反復脱離と咬合痛に対する全顎的治療
- 主訴
- 詰め物が何度も外れる
咬んだら痛い
審美障害
などさまざまな問題を抱えて来院されました。
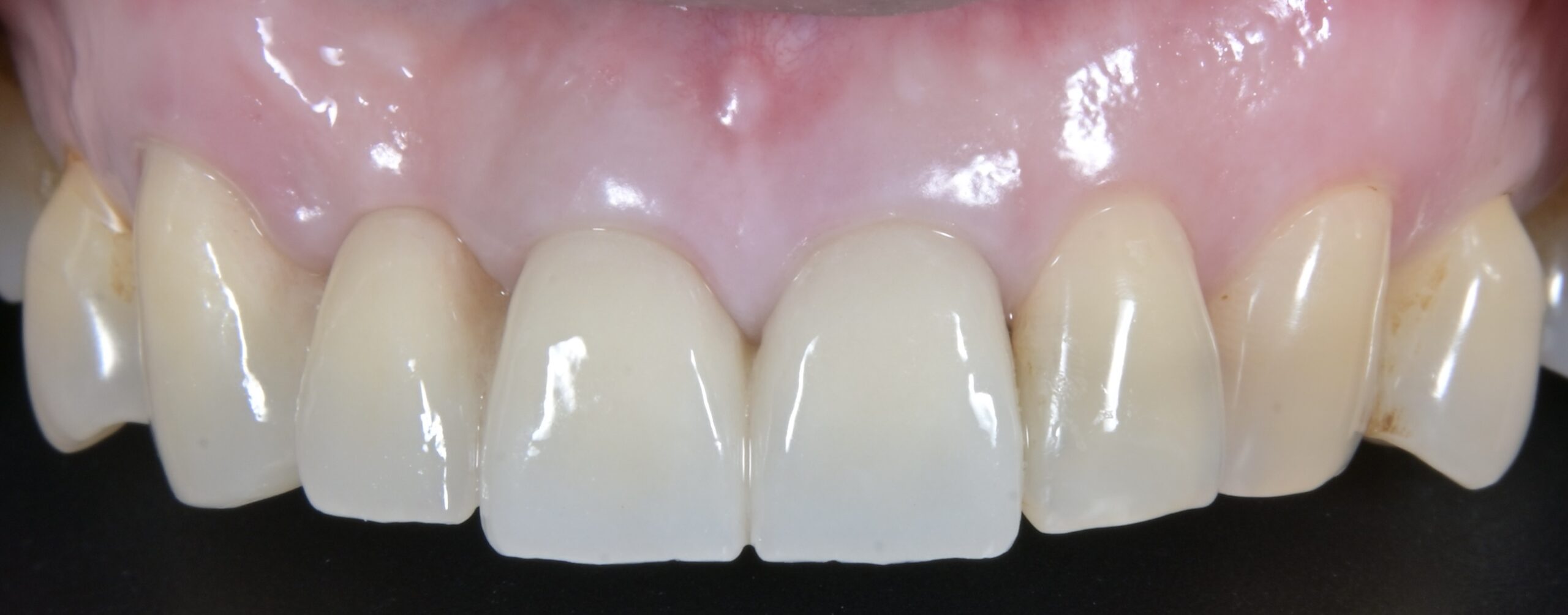
- 治療内容
- 食習慣からくる酸蝕症、加えて夜間のブラキシズムも加わり、歯牙の咬耗、摩耗、虫歯など全顎的な問題を抱えていました。部分矯正を含む全顎的治療を計画し、すべての歯牙をプロビジョナルレストレーション(仮歯)に置き換え、咬合再構成。最終補綴物はジルコニアクラウンにえ行いました。
- 治療期間
- 24ヶ月
- 治療費用
- ジルコニアクラウン 臼歯部1本 110、000円 前歯1本 165,000円 全顎の包括的歯科治療費 合計 おおよそ500万円
- 治療のリスク
- 術前の診断用ワックスアップから顎位の決定を行い、プロビジョナルレストレーションで長期間問題が起きないか経過観察が必要でした。これらから得られたデートを最終補綴へ置き換えることで安定した口腔内を目指しました。治療前・治療中・治療後のそれぞれに酸に対する食事指導や定期的なメインテナンスの必要性を説明し、理解を得ることが大切で、生活習慣が変わらなければ再発のリスクがあります。
BEFORE
AFTER